Check out our Smile Gallery for before and after examples of problem teeth transformed into beautiful smiles. Simply click to view patient details and treatment description.
Check out our Smile Gallery for before and after examples of problem teeth transformed into beautiful smiles. Simply click to view patient details and treatment description.
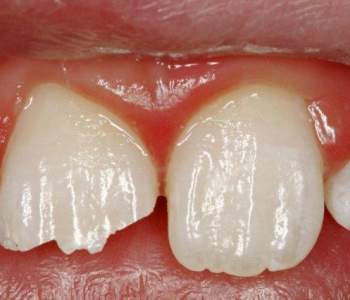
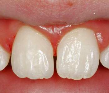
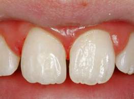
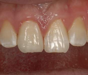
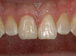
The patient came to us following an accident which resulted in damage to a tooth. The tooth was built up again using a material that matched the colour of the patients existing teeth and contoured to look similar to the matching tooth.


Before
After
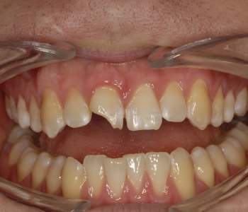
The patient presented with a broken front tooth. A Veneer (thin laminate) custom made to match the shape and colour of the patients existing teeth was applied to the front of the broken tooth making it virtually indistinguishable from the existing teeth.
Before
After
The patient underwent Orthodontic treatment to correct their misaligned teeth


Before
After
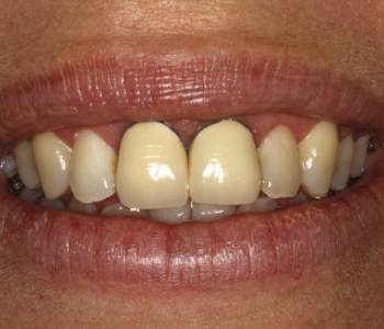
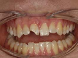
This patient undertook a number of procedures to enhance their smile and address functional issues.
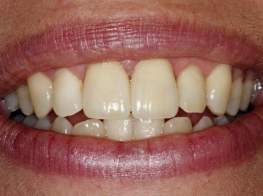
Teeth whitening lightened the teeth which on initial presentation had areas appearing yellow. Orthodontic treatment corrected the misaligned teeth and bite issues. The underdeveloped 2nd tooth on the upper left side was built up to give a more aesthetically pleasing shape.


Before
After
The patient came to see us unhappy with the appearance of their existing crowns. Over time their gums had receded causing a grey tinge around the top of the crowns were the metal backing material used in the crown showed. New crowns were created using a porcelain material without any metal with a translucent appearance that more closely matches the look of real teeth (the existing crowns had an opaque look). The patient is extremely happy with the result and should the gums recede further over time will not get the same grey tinge problem with the new crowns that have been fitted.


Before
After
Before
After