At Hibiscus Coast Dental we are passionate about providing you with high quality and comfortable dental care for the whole family. We provide a full range of general, specialty, cosmetic and emergency dental treatments.
Our family dentists will always recommend what we feel is best for your oral health and with modern technology can offer you a range of dental solutions quickly and effectively.
Our Services

As a QCard Partner we can offer a range of interest free repayment options from 6 to 24months
Offer applies to treatments $200 and over. Click here to apply for pre-approved finance. Q Card lending criteria, fees, terms and conditions apply.

Southern Cross Easy-Claim
We are able to offer Southern Cross Health members a convenient way of claiming on dental services at the time of purchase, without completing a claim form.

Consultation
If you have a specific concern about an aspect of your oral health call and request a consultation appointment to discuss your concern in detail.

Oral Hygiene Treatments
Our Dental Hygiene Team can clean teeth in places your toothbrush can’t reach, and remove plaque and staining giving you a cleaner, brighter smile. We aim to make the experience a pleasant one and as such can offer local anesthetic to patients with sensitive gums.

Comprehensive Examination
Examinations are an important part of your oral health routine. Regular checkups allow your dentist to detect changes in your mouth before they become apparent. Early intervention and treatment can help you avoid costly and more invasive treatment later.

Dentistry for Children
We provide subsidised dental care to enrolled children from Year 9 until their 18th birthday. If you have children who do not qualify, we are happy to treat them privately.

Orthodontics
Orthodontics is the branch of dentistry that deals with treating misaligned teeth and jaws. We offer a wide range of orthodontic treatments for children right through to adults using traditional metal braces to more discreet options. For a limited time we are offering free orthodontic consultations call and book yours today.

Invisalign
An alternative to traditional braces, Invisalign is a series of nearly invisible, removable aligners that you change every two weeks for the next set of aligners. Each aligner is individually manufactured for your teeth, and your teeth only. As you replace each aligner, your teeth will move – little by little, week by week – until they have straightened to the final position.

Cosmetic Dentistry
We can alter the appearance of your teeth and help you achieve the smile you’ve always dreamed of. Using a range of treatment options our team can prepare a comprehensive Treatment Plan for you to address your concerns. Call today to book a consultation.

Fillings
We can restore your decayed or damaged teeth, and replace older metal fillings with new tooth coloured ones.

Crowns
Crowns protect your tooth and are an ideal treatment option for a tooth were a normal filling wouldn’t be strong enough. These are custom designed to match the colour and shape of your existing tooth.

Dental Implants
A dental implant is a strong titanium screw placed in the jaw where a tooth root would normally reside. For single missing teeth a crown is then fixed on top. Considered the gold standard for replacement of missing teeth as surrounding healthy teeth are left untouched. For wider gaps several implants can be placed with a bridge fixed on top.

Tooth Removal
Our dentists are trained to remove teeth with the minimal amount of discomfort. They can perform most types of extractions including wisdom teeth and can discuss treatment options for restoring your smile afterward. We are happy to accept referrals.

Sedation
Sedation is an optional service which can help you relax and overcome your anxiety during dental treatment. Don’t let your dental phobia keep you from seeing the dentist.

Tooth Whitening
Whiter smiles look great but not all treatments are appropriate for all people. We have a range of custom solutions to tailor to your needs. Book in for a consultation to find out options best suited for you.

Emergency Dentistry
Our team is often able to arrange a same day appointment if you are experiencing a dental emergency. The immediate goal is to determine the cause, make you comfortable and advise of treatment options. If time allows treatment may be started if appropriate.

WINZ
Our practice is a registered treatment provider with WINZ and as such we are able to arrange quotes and accept the WINZ payment card.


Lip Fillers
Lip fillers are a versatile way to shape and plump the lips. This treatment is not exclusive to one gender and can be used to increase volume for people of all ages. After an in-depth assessment of your lips, our therapists can tailor your treatment to achieve the look and feel you desire.
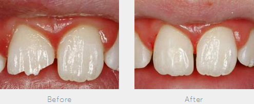
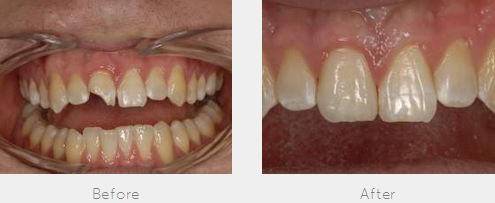
View Our Latest Work
Check out our Smile Gallery for before and after examples of problem teeth transformed into beautiful smiles.



